OsteoXRay_V0.1_Flux_Kontext_JGF
3
31
詳細
ファイルをダウンロード
このバージョンについて
モデル説明
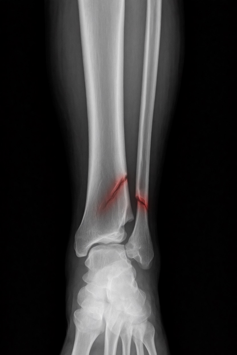
友人が提案した、気取らない実験:
アートや写真の編集用に設計されたFlux Kontextのようなモデルを、医療画像、たとえば「単純な」骨折の赤色マーキングに使用できるか?
即答:面白い結果を出すが、過剰に反応し、医療ツールとしては信頼性に欠ける。これはアイデアを試すためのプロトタイプに過ぎない。
使い方
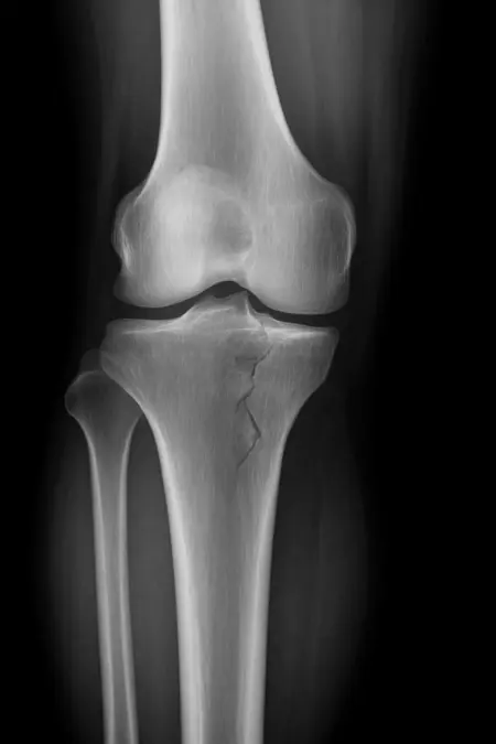
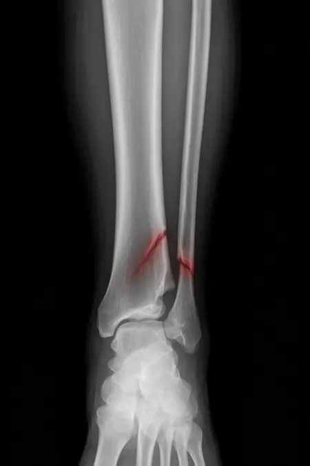
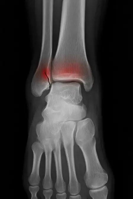
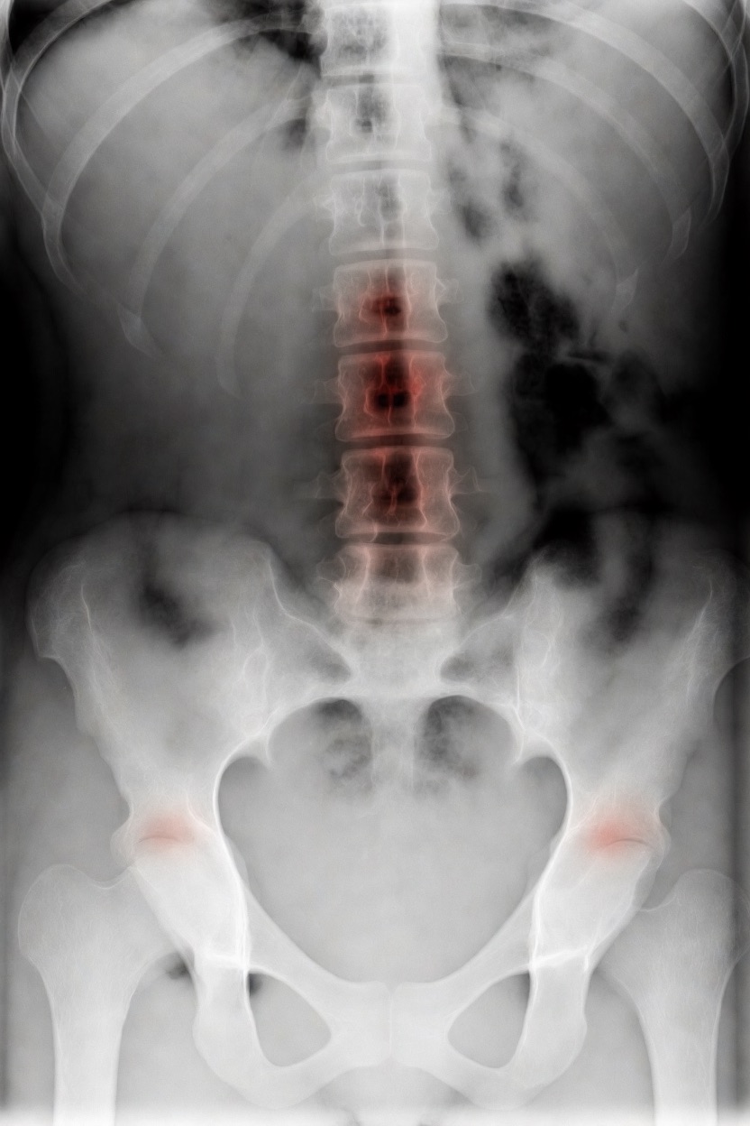
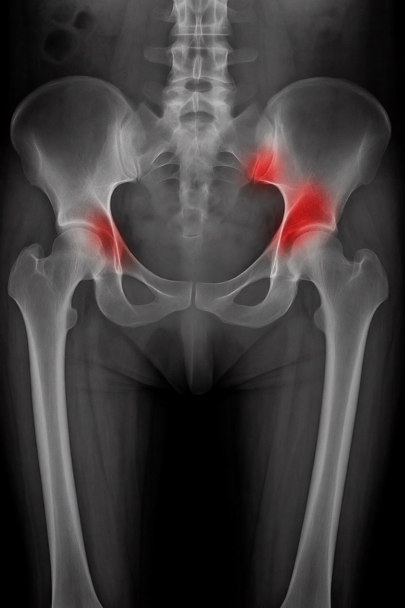
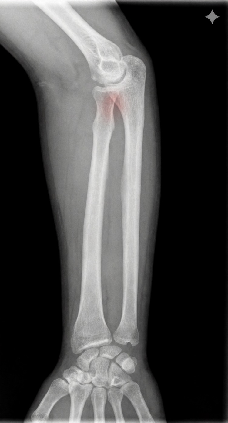
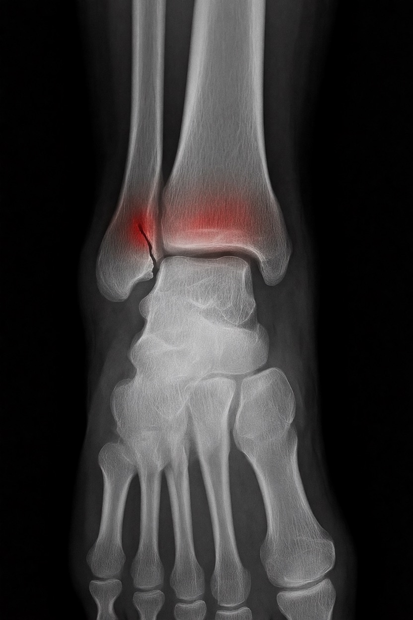
骨のX線画像(実物または合成)をアップロードする。
「骨折がある場所にマークを付けてください」と尋ねる。
目的に応じて、denoise、sampler、schedulerを調整する:
慎重モード(偽陽性を減らす)
- Sampler:Euler、15ステップ
- Scheduler:Karras
- Denoise:0.90
テスト結果:
- 偽陽性 ≈ 24%
- 骨折検出 ≈ 20%
感度モード(検出を優先、ノイズ多め)
- Euler、15ステップ、Karras
- Denoise:1.0
結果:
- 偽陽性 ≈ 80%
- 骨折検出 ≈ 86%
さらに攻撃的な設定(例:rk beta57、Denoise 1.0)では、**偽陽性100%、検出100%**という馬鹿げた結果に:すべてを赤で塗りつぶし、健常部もほぼすべて骨折と誤認する。未経験の目には区別がつかない。
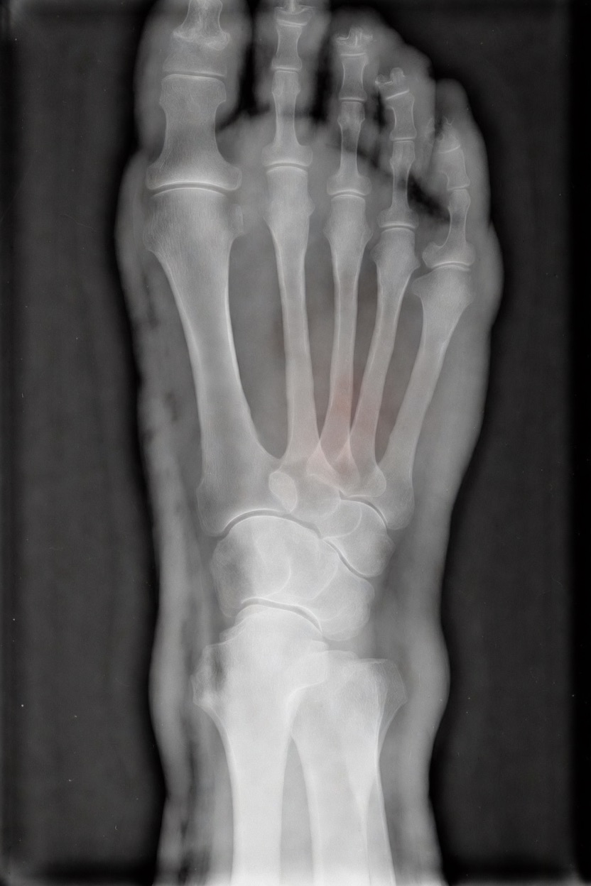
Civitai用に作成した、100% AI生成の合成ミニデータセット(健康なX線10枚、骨折のあるX線10枚)でテスト:
- 健康な骨での偽陽性:100%
- 骨折検出:≈ 45%
有効な用途
- 医療画像におけるAIプロトタイプやテスト
- X線の「疑わしい」領域を視覚的に目立たせる(実験的・創造的アート、エキゾチックなツール xD)
- 感度 vs 偽陽性のバランスを実験するための教育的・実験的素材
不適切な用途
- 重大な診断には使用しない
- 医師の代わりにはならない、まったくもって!
重要
このLoRaは視覚的実験用のみです。
医療機器ではありません。信頼性がなく、臨床診断には使用しないでください。
もちろん、このツールはオープンソースで、高速(1回の分析に25秒)、一般のデスクトップPCで動作するため、今後このコンセプトをさらに実験する価値はあると思います…今後の展開に注目です!
お楽しみください!




















